
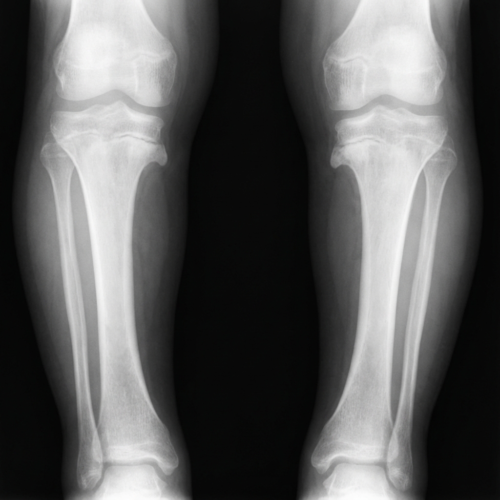
AP standing radiograph of the lower limbs in a 3-year-old child demonstrating bilateral Blount's disease. There is varus angulation of the proximal tibia bilaterally with characteristic medial physeal beaking. The metaphyseal-diaphyseal angle (MDA) is approximately 16 degrees on both sides (>11 degrees is abnormal). Langenskiöld Stage II changes are present with medial tibial metaphyseal beaking and early fragmentation. Internal tibial torsion is noted clinically.
Image source: Open Access medical literature (NIH/PubMed Central) • CC-BY License
Describe the clinical presentation and differentiate from physiologic bowing.
Explain the radiographic evaluation including the Langenskiöld classification.
What is the pathophysiology and natural history?
Describe the treatment algorithm and surgical options.
How does adolescent Blount's differ from infantile?
What are the complications and recurrence risk?