
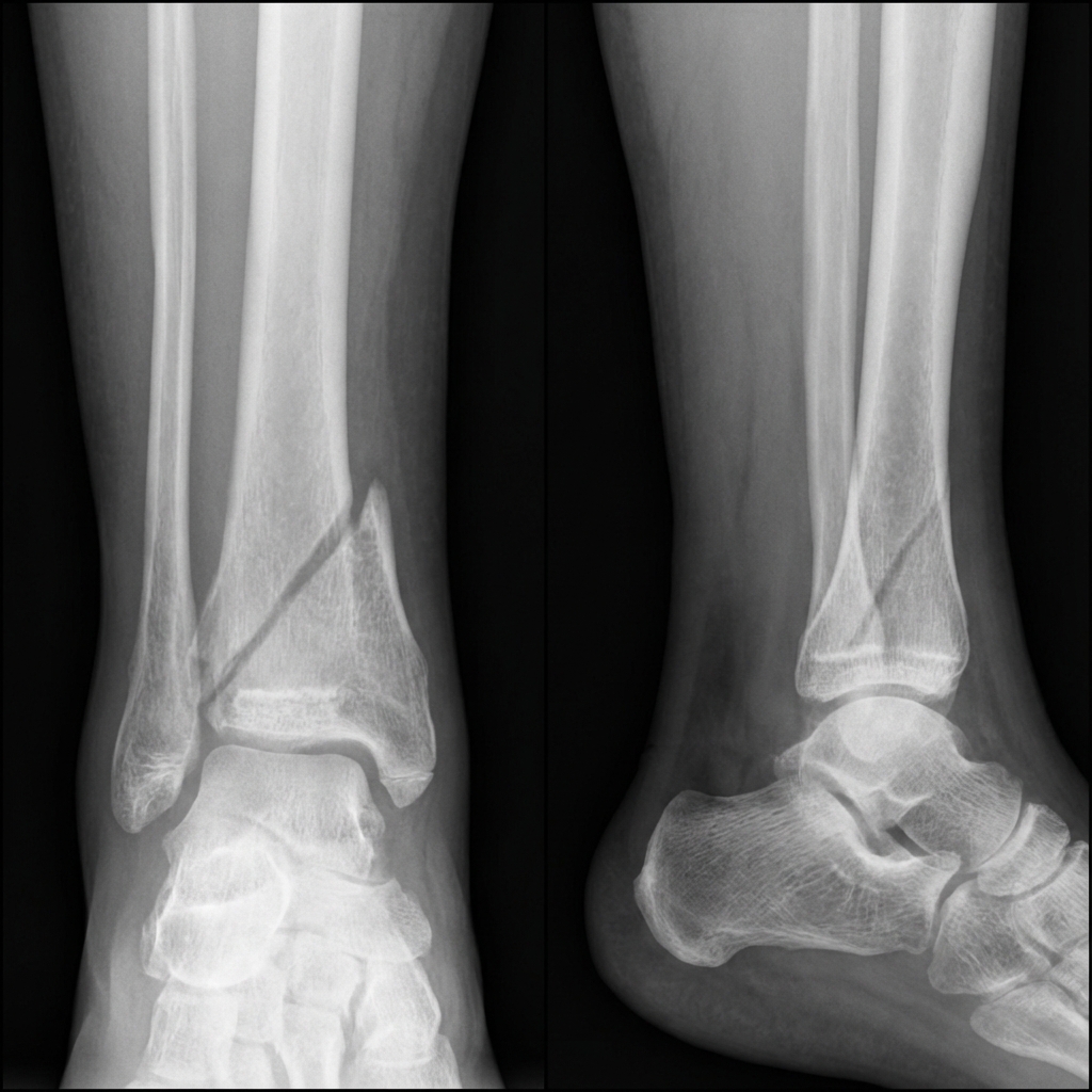
AP and lateral ankle radiographs in a 12-year-old child demonstrating a Salter-Harris Type II fracture of the distal tibia. The fracture line extends through the physis (S = separation) and exits through the metaphysis (A = above). A Thurston-Holland fragment is visible on the lateral side. The fibula is intact. The distal tibial physis is widened medially. This injury pattern is at risk for premature physeal closure.
Source: AI-Generated: Educational Radiograph of Salter-Harris Type II Fracture • OrthoVellum AI • OrthoVellum Educational Use
Describe the Salter-Harris classification with the SALTR mnemonic.
What determines the prognosis and risk of growth arrest?
How do you manage each Salter-Harris type?
Describe special fracture patterns around the pediatric ankle.
What is the management of physeal arrest?
What are the key principles of fixation across the physis?