
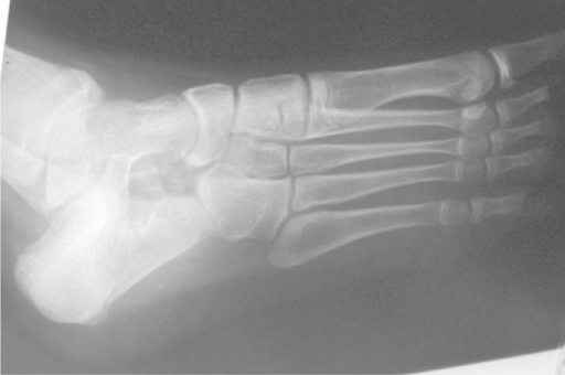
Lateral weight-bearing radiograph of an adolescent foot demonstrating features of talocalcaneal coalition. There is a positive C-sign (continuous arc from dome of talus to sustentaculum tali). Talar beaking is visible (dorsal spurring of talar head). The subtalar joint appears indistinct. The hindfoot is in valgus. CT is recommended to characterize the coalition (fibrous, cartilaginous, or osseous) and determine resectability.
Source: Talocalcaneal Coalition Lateral Radiograph • PMC4799062 • CC-BY
Describe the types of tarsal coalition and their radiographic features.
What are the clinical features and natural history?
Describe the imaging algorithm and specific findings.
What is the treatment algorithm?
Describe coalition resection technique and outcomes.
What are the differential diagnoses for rigid flatfoot?