
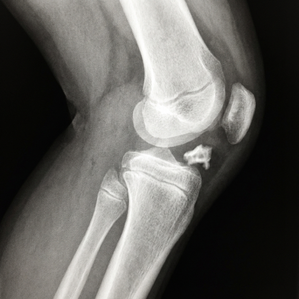
Lateral knee radiograph in a 10-year-old child demonstrating a Meyers and McKeever Type III tibial spine fracture. The anterior tibial eminence fragment is completely displaced and rotated superiorly. There is associated hemarthrosis causing joint effusion. The fragment appears to be sitting above the level of the tibial plateau. This degree of displacement requires arthroscopic or open reduction with internal fixation.
Image source: Open Access medical literature (NIH/PubMed Central) • CC-BY License
Describe the radiographic findings and Meyers-McKeever classification.
Why does this injury pattern occur in children and what is the mechanism?
Describe the treatment algorithm including surgical technique.
What are the complications and long-term outcomes?
How do you assess ACL function after healing?
What is the role of MRI in these injuries?