
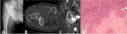
AP pelvis radiograph demonstrating a Grade 2 chondrosarcoma of the right proximal femur. There is an expansile lytic lesion with endosteal scalloping, cortical thickening, and characteristic rings and arcs (popcorn) calcification within the matrix. The lesion shows aggressive features with cortical destruction and soft tissue extension. MRI is required to assess marrow extent and soft tissue component.
Source: Dedifferentiated chondrosarcoma: Radiological features, prognostic factors and survival statistics • PMC5354284 • CC-BY
Describe the clinical and radiographic features of chondrosarcoma.
How do you differentiate chondrosarcoma from enchondroma?
Describe the grading system and its treatment implications.
What are the surgical principles for chondrosarcoma?
Discuss secondary chondrosarcoma and predisposing conditions.
What are the subtypes and prognosis of chondrosarcoma?