
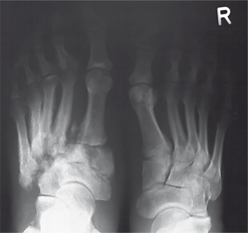
Clinical image for Charcot Neuroarthropathy
Image source: Open Access medical literature (NIH/PubMed Central) • CC-BY License
What is Charcot neuroarthropathy? Describe the pathophysiology and theories behind this condition.
How would you classify Charcot neuroarthropathy? Describe both anatomical and clinical staging systems.
Describe your assessment of this patient. What investigations would you order and how would you interpret them?
Outline your management approach for this patient in the acute phase. What is the role of total contact casting?
When is surgical intervention indicated? What are the principles of surgical reconstruction?
What are the complications of Charcot foot and how would you manage ulceration in this context?