
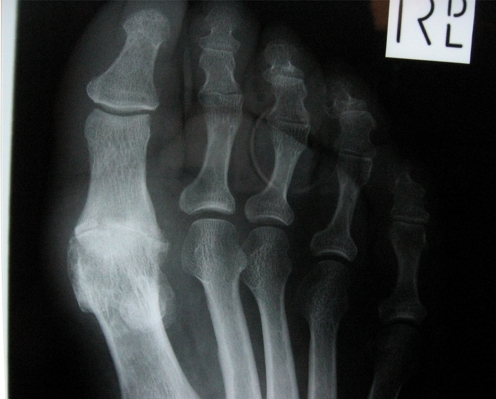
Clinical image for Hallux Rigidus
Image source: Open Access medical literature (NIH/PubMed Central) • CC-BY License
What is hallux rigidus? Describe the aetiology and pathophysiology.
How would you classify hallux rigidus? What clinical and radiographic features differentiate each grade?
Describe the non-operative and operative treatment options. What factors influence your surgical decision?
Describe your technique for cheilectomy. What defines an adequate procedure?
When would you recommend first MTP fusion? Describe your preferred technique and key principles.
What is the role of joint-sparing procedures beyond cheilectomy? Discuss Moberg osteotomy and interpositional arthroplasty.