
Clinical image for Hallux Valgus
Image source: Open Access medical literature (NIH/PubMed Central) • CC-BY License
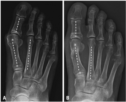
What radiographic angles should be measured on this weight-bearing AP foot radiograph, and what are the normal values?
Describe the pathoanatomy of hallux valgus. What structures are contracted and what structures are attenuated?
What surgical options are available for this patient? Describe your decision-making algorithm based on the radiographic findings.
Describe the technique for a Scarf osteotomy including the advantages of this procedure.
What are the common complications of hallux valgus surgery and how would you prevent them?
When would you consider a Lapidus procedure over a distal/shaft osteotomy? What are the key technical points?