
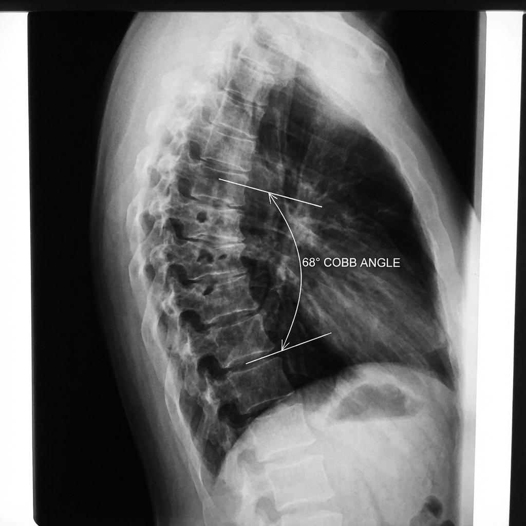
Standing lateral radiograph demonstrating thoracic kyphosis measuring 68 degrees (Cobb T5-T12). There is anterior wedging >5 degrees at T7, T8, and T9 with irregularity of the vertebral endplates and multiple Schmorl's nodes. The apex is at T8. This represents classic Scheuermann's disease with structural thoracic kyphosis.
Image source: Open Access medical literature (NIH/PubMed Central) • CC-BY License
Describe the radiographic findings and what criteria define Scheuermann's disease?
How do you differentiate from postural kyphosis and what is the clinical assessment?
What are the treatment options and indications for each?
Describe the surgical technique for posterior spinal fusion.
What are the expected outcomes and potential complications?
What is the natural history if left untreated?